Healthcare Research and Practice. 2025;1(2);43-52
Review Article
PeriostinHigh CAF Signatures as Biomarkers and Therapeutic Targets in Gastrointestinal Cancer
Eunjin Jeong1,*, Chang-Whan Yoon2,3,*, Haeun Kim1,2, Sang-Hyuk Lee2,3,#, Seok-Hyung Kim1,4,#
▼ Affiliations
1Department of Health Sciences and Technology, Samsung Advanced Institute for Health Sciences & Technology, Sungkyunkwan University, Seoul 06355, Korea
2Medical Research Institute, Kangbuk Samsung Hospital, Sungkyunkwan University School of Medicine, Seoul 03181, Korea
3Department of Otorhinolaryngology-Head and Neck Surgery, Sungkyunkwan University School of Medicine, Kangbuk Samsung Hospital, Seoul 03181, Korea
4Medical Research Institute, Kangbuk Samsung Hospital, Sungkyunkwan University School of Medicine, Seoul 03181, Korea
#These authors contributed equally to this work.
Abstract
Background/Objectives: Cancer-associated fibroblasts (CAFs) are key regulators of tumor progression in gastrointestinal malignancies, including colorectal cancer (CRC) and hepatocellular carcinoma (HCC). Among CAF-associated markers, Periostin (POSTN) has emerged as a stromal-specific matricellular protein that mediates tumor–stroma interactions and contributes to tumor aggressiveness.
Methods: This review integrates recent preclinical and clinical studies investigating POSTN-expressing CAFs in CRC and HCC, incorporating insights from single-cell and spatial multi-omics analyses. We evaluated evidence supporting POSTN as a prognostic biomarker and therapeutic target, as well as emerging CAF-directed therapeutic strategies.
Results: POSTN-high CAFs promote extracellular matrix remodeling, angiogenesis, epithelial–mesenchymal transition, stemness, immune exclusion, and therapeutic resistance through integrin-FAK, PI3K/AKT, and TGF-β signaling pathways. Conserved POSTN-enriched CAF phenotypes across gastrointestinal cancers have been identified and are associated with poor clinical outcomes. Early translational efforts targeting POSTN or CAF-associated pathways show increasing therapeutic potential, particularly in combination with immunotherapy.
Conclusions: POSTN-expressing CAFs represent a conserved and actionable stromal population in CRC and HCC. Leveraging POSTN-based stromal signatures for patient stratification may enable precision-guided stroma-targeted therapies and improve treatment outcomes across gastrointestinal cancers.
Keywords
Cancer-associated fibroblasts; Periostin; FAP; Colorectal cancer; Hepatocellular carcinoma; Tumor microenvironment; Biomarkers; Precision oncology
Introduction
Gastrointestinal cancers such as colorectal cancer and hepatocellular carcinoma remain challenging to treat, in part due to the critical role of the tumor microenvironment in driving progression and therapeutic resistance. Cancer-associated fibroblasts are a dominant stromal population that actively regulate extracellular matrix remodeling, angiogenesis, immune exclusion, and tumor aggressiveness. Among CAF markers, Periostin has emerged as a stromal-specific matricellular protein associated with aggressive disease and poor prognosis. Recent single-cell and spatial profiling studies have identified conserved POSTNHigh CAF phenotypes across gastrointestinal cancers, highlighting their value as biomarkers and therapeutic targets. Targeting POSTN-expressing CAFs represents a promising strategy for precision-guided stromal intervention in gastrointestinal malignancies.
CAF Roles in Colon and Liver Cancer
Cancer-associated fibroblasts (CAFs) contribute to nearly all stages of tumor progression by remodeling the extracellular matrix (ECM), secreting cytokines and growth factors, and modulating immune and vascular responses. In colorectal cancer (CRC), CAFs promote epithelial–mesenchymal transition (EMT), invasion, angiogenesis, and metabolic reprogramming through IL-6, CXCL12, TGF-β, and other stromal mediators, thereby enhancing cancer stemness, chemoresistance, and recurrence risk [1, 2].
Recent transcriptomic and spatial analyses have identified CAF-associated stromal signatures in CRC strongly correlated with poor prognosis, immune exclusion, and reduced benefit from standard chemotherapy, establishing CAFs as prognostic biomarkers and therapeutic targets [1, 3, 4]. Among these markers, Periostin (POSTN)—a matricellular protein highly expressed in CAFs rather than tumor epithelium—has emerged as a clinically relevant stromal classifier. Elevated POSTN in CRC stroma correlates with enhanced cellular motility, invasive growth, metastatic potential, and shortened survival [5-7]. These data position POSTN-positive CAFs as key components of a pro-metastatic stromal architecture and a candidate marker for stromal-driven subtype stratification.
In hepatocellular carcinoma (HCC), CAFs originate predominantly from activated hepatic stellate cells within a fibrotic microenvironment, reflecting the disease’s strong link to chronic injury and fibrosis [8-10]. HCC CAFs promote ECM stiffening, angiogenesis, and immune exclusion through POSTN, IL-6, CXCL12, CTGF, and other secreted mediators [5]. Recent single-cell multi-omic analyses identify POSTN⁺ CAFs as regulators of immunotherapy resistance through formation of T-cell-excluding stromal niches and engagement of SPP1⁺ macrophages via IL-6/STAT3 signaling [11].
This schematic illustrates a reciprocal signaling circuit in which IL-6 released from cancer cells activates STAT3 in fibroblasts, inducing periostin expression (Fig.1). Fibroblast-derived periostin in turn stimulates YAP/TAZ and integrin–FAK–SRC pathways in cancer cells, amplifying IL-6 secretion and sustaining a feed-forward tumor-promoting loop. This periostin-centered axis highlights the dynamic interplay between cancer cells and stromal fibroblasts that drives tumor progression, survival, and therapeutic resistance.
Collectively, these findings demonstrate that Periostin-enriched CAF ecosystems in CRC and HCC actively shape stromal topology, immune evasion, and therapeutic response. This supports a translational framework in which CAF- and POSTN-defined stromal signatures may guide biomarker development, patient selection, and CAF-targeted therapeutic strategies.
Figure 1. Crosstalk-Driven Activation of Periostin Signaling Between Cancer Cells and Fibroblasts. Colon cancer cells secrete IL-6, which activates STAT3 signaling in neighboring fibroblasts. STAT3-driven transcriptional upregulation of POSTN leads to increased POSTN secretion from fibroblasts. Periostin then feeds back to cancer cells, enhancing YAP/TAZ activation through integrin–FAK–SRC signaling, ultimately promoting IL-6 production and reinforcing a self-sustaining malignant cycle within the tumor microenvironment.
CAF Markers in Cancers
Accurate classification of cancer-associated fibroblasts (CAFs) requires a combinatorial marker strategy, as no single marker uniformly identifies all CAF populations across tumor types. Classical CAF markers—such as α-smooth muscle actin (α-SMA), fibroblast activation protein (FAP), platelet-derived growth factor receptors (PDGFR-α/β), podoplanin (PDPN), and fibroblast-specific protein-1 (S100A4/FSP1)—remain foundational and are commonly used to define contractile and myofibroblastic CAF subsets [12-14]. However, these markers alone do not capture the full cellular diversity or functional specialization within CAF populations.
Recent advances in single-cell RNA sequencing, spatial transcriptomics, and proteomics have identified emerging stromal markers including latent TGF-β binding protein-2 (LTBP2), cadherin-11 (CDH11), olfactomedin-like 3 (OLFML3), COL11A1, and Periostin (POSTN), offering higher-resolution phenotyping of CAF subtypes [15-18]. These markers help distinguish functionally distinct CAF states including inflammatory CAFs (iCAFs), matrix-producing CAFs (matCAFs), antigen-presenting CAFs (apCAFs), and pro-metastatic CAF clusters (7,8).
Importantly, comparative single-cell RNA-seq studies show that FAP-high/POSTN-high CAF signatures are conserved across colorectal cancer (CRC), hepatocellular carcinoma (HCC), gastric cancer, and pancreatic cancer, suggesting a shared stromal activation program driven by TGF-β and mechanotransduction pathways [6, 7, 19]. In CRC specifically, POSTN expression strongly correlates with poor prognosis, tumor invasion, chemoresistance, and immune exclusion, and stromal POSTN enrichment spatially aligns with exhausted CD8⁺ T-cells and CXCL12⁺ inflammatory niches [20]. These findings support Periostin as a central stromal biomarker with diagnostic, prognostic, and therapeutic relevance.
Together, these evolving CAF marker frameworks—particularly Periostin-centered stromal signatures—provide a foundation for stratifying CAF phenotypes, predicting therapeutic response, and advancing CAF-targeted or stromal-normalizing therapy in colorectal cancer.
Periostin in Colon and Liver Cancer
Periostin (POSTN) is a key matricellular protein predominantly secreted by activated CAFs and is increasingly recognized as a central stromal regulator in solid tumors. Rather than acting as a mere structural ECM component, Periostin dynamically modulates the tumor microenvironment through biochemical signaling and mechanical remodeling.
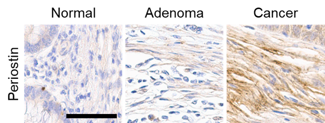
In colorectal cancer (CRC), Periostin promotes epithelial–mesenchymal transition (EMT), invasion, angiogenesis, and metastatic dissemination through activation of the integrin–FAK–PI3K/AKT axis and downstream regulation of Wnt/β-catenin signaling [21-23]. Stromal POSTN expression correlates strongly with lymphovascular invasion, distant metastasis, and recurrence risk, and spatial transcriptomics studies show Periostin enrichment in desmoplastic regions proximal to invasive tumor fronts [24-26]. Furthermore, Periostin directly supports cancer stem cell maintenance and chemoresistance by enhancing stem-associated pathways (LGR5, SOX2, ALDH1A1) and creating a protective stromal niche [27-29]. POSTN-high stroma also associates with immune exclusion phenotypes characterized by CXCL12 expression, T-cell exhaustion, and reduced response to immune checkpoint inhibition [5]. Immunohistochemical analysis of human colon cancer tissue demonstrates a progressive increase in POSTN expression within the tumor stroma. While normal adjacent tissue exhibits minimal POSTN, its expression markedly increases in regions enriched with activated fibroblasts, reflecting stromal remodeling and desmoplastic reaction. High POSTN deposition correlates with the presence of cancer-associated fibroblasts (CAFs) and extracellular matrix reorganization, supporting its role as a stromal biomarker of tumor progression and aggressiveness in colorectal cancer (Fig. 2).
In hepatocellular carcinoma (HCC), Periostin expression is closely linked to fibrosis-associated carcinogenesis. POSTN cooperates with FAP⁺ and PDGFRβ⁺ CAF subsets to drive extracellular matrix stiffening, collagen crosslinking, and mechanotransduction through integrins αvβ3 and αvβ5 [21, 22]. This mechanical reinforcement fuels TGF-β activation, angiogenesis, and macrophage recruitment, creating an immunosuppressive and protumoral environment. Recent single-cell and spatial multiomics studies further reveal that Periostin-expressing CAFs form stromal hubs that interact with SPP1⁺ tumor-associated macrophages and exhausted CD8⁺ T cells, promoting immunotherapy resistance[4] . Functionally, Periostin also sustains liver cancer stem-like phenotypes and supports sorafenib resistance through MAPK and STAT3 pathway crosstalk [5, 25].
Collectively, Periostin serves as a molecular bridge between mechanical and biochemical tumor–stroma communication, orchestrating ECM architecture, integrin signaling, immune modulation, and stemness programs. These properties position Periostin as a compelling predictive biomarker, therapeutic target, and indicator of aggressive stromal phenotypes in gastrointestinal cancers

Figure 2. Periostin expression in human colon cancer tissue. Representative immunohistochemical staining of POSTN in colon cancer samples shows minimal or weak staining in normal adjacent stromal areas (left), moderate POSTN deposition within activated stromal regions (middle), and strong POSTN accumulation in densely desmoplastic fibroblast-rich tumor stroma (right). Periostin localization is predominantly extracellular and stromal, outlining collagen-rich, fibroblast-associated structures. Scale bar: 50 μm.
Translational Implications and Therapeutic Targeting of CAFs
Therapeutic strategies targeting CAFs are rapidly evolving as their role in tumor progression, immune evasion, and treatment resistance becomes increasingly clear. Traditional approaches focused on global CAF depletion are being replaced by precision stroma-targeted strategies that selectively disrupt pathogenic CAF subtypes or their signaling networks while preserving physiologically beneficial fibroblast functions.
Among these strategies, FAP-targeted therapies—including antibody–drug conjugates (ADCs), CAR-T cells, bispecific antibodies, and radioligand therapies—have shown encouraging activity in preclinical models and are now entering early-phase clinical studies [30]. Notably, FAP-targeted radionuclide therapy (FAPI-PET-guided treatment) has demonstrated both diagnostic and therapeutic relevance in colorectal cancer (CRC), gastric cancer, and hepatobiliary tumors, highlighting its potential role as a theranostic platform [31].
Periostin (POSTN) has emerged as a particularly compelling stromal target due to its regulatory function in ECM remodeling, immune exclusion, integrin signaling, and metastatic progression. Periostin inhibition—through neutralizing antibodies, receptor-blocking peptides, or RNA interference—reduces EMT, angiogenesis, invasion, and metastatic seeding in multiple CRC and hepatocellular carcinoma (HCC) models [24, 26, 31]. More recently, nanoparticle-mediated delivery of Periostin-silencing RNA and anti-integrin αvβ3 therapy has demonstrated synergistic efficacy, particularly in tumors with desmoplastic and immune-cold phenotypes[32, 33].
Combination strategies are gaining momentum. Targeting CAFs alongside immune checkpoint inhibitors (ICIs), anti-VEGF therapy, or TGF-β blockade can remodel the immune microenvironment, enhance T-cell infiltration, and improve response rates in otherwise treatment-resistant CRC and HCC [11, 30, 34-36]. These findings support CAF modulation not as a standalone therapy, but as a mechanism to prime tumors for immunotherapy and vascular-targeted treatment.
Finally, emerging AI-integrated multi-omics profiling, spatial transcriptomics, and CAF-specific biomarker panels are redefining precision medicine frameworks by enabling patient stratification based on stromal architecture rather than tumor epithelium alone. This shift is critical as CAF-dominant CRC subtypes (e.g., Consensus Molecular Subtype 4, CMS4) exhibit distinct biology and treatment vulnerabilities that are not captured by conventional tumor-centric molecular classification systems [37].
Altogether, these advances position CAF- and Periostin-targeted therapy as promising components of next-generation treatment strategies for colorectal and hepatobiliary cancers, with the potential to overcome existing therapeutic resistance and reshape clinical outcomes.
Discussions
Cancer-associated fibroblasts (CAFs) increasingly represent a critical determinant of tumor behavior rather than a passive stromal component. In colorectal and hepatocellular carcinoma, CAFs reshape the tumor microenvironment through ECM remodeling, cytokine signaling, and immune suppression, enabling invasion, stemness, and therapeutic resistance. Advances in single-cell and spatial multi-omics have revealed distinct CAF subsets, including Periostin-high matrix CAFs, inflammatory CAFs, and antigen-presenting CAFs, each with unique functional roles. Among these, Periostin-expressing CAFs form mechanically rigid, immune-excluded niches that correlate with aggressive biology and poor response to immunotherapy. These insights are shifting therapeutic strategies from broad CAF depletion to subtype-specific modulation, stromal normalization, or pathway interruption. Integrating CAF phenotyping—particularly Periostin-based stromal signatures—into clinical classification frameworks may enable precision patient stratification and guide emerging combination approaches with immune checkpoint blockade, anti-angiogenic therapy, or targeted stromal inhibitors.
Conclusions
CAFs are now recognized as central architects of the tumor microenvironment rather than passive bystanders. Among stromal mediators, Periostin represents a mechanistic hub linking matrix remodeling, integrin signaling, immune exclusion, angiogenesis, and metastatic behavior. The emerging therapeutic landscape—including FAP-based theranostics, Periostin inhibition, stromal reprogramming strategies, and combination regimens with immunotherapy or anti-angiogenic agents—reflects a rapidly maturing paradigm in stroma-directed oncology.
As CAF-focused interventions advance toward clinical translation, integrating stromal biomarkers, spatial profiling, and CAF functional states into treatment algorithms will be essential. The next phase of precision oncology will not target tumor cells alone but will incorporate the stromal context—positioning Periostin-defined CAF biology as a promising therapeutic and prognostic axis in colorectal and hepatobiliary cancers.
Conflict of Interest
The authors have no conflicts of interest to declare and agreed to the published version of the manuscript
Author Contributions
The contributions of each author to this study are summarized as follows. EJJ, CWY, SHL and SHK conceptualized and designed the overall research framework. Data curation was conducted by EJJ, CWY and HEK, while EJJ and CWY were responsible for formal data analysis. Funding for the study was acquired by SHL and SHK. The experimental investigation was carried out by SHL and SHK. Methodological design and refinement were performed collaboratively by EJJ, CWY and HEK. Validation and visualization of the results were undertaken by EJJ, HEK, SHL, and SHK. The original draft of the manuscript was written by SHL, CWY, and SHK, and the final version of the manuscript was reviewed and edited by EJJ, CWY, and SHK. All authors approved the final version.
References
- Wu C, Yu S, Wang Y, Gao Y, Xie X, Zhang J. Metabolic-suppressed cancer-associated fibroblasts limit the immune environment and survival in colorectal cancer with liver metastasis. Front Pharmacol 2023; 14: 1212420.
- Zhao Y, Mei S, Huang Y, Chen J, Zhang X, Zhang P. Integrative analysis deciphers the heterogeneity of cancer-associated fibroblast and implications on clinical outcomes in ovarian cancers. Comput Struct Biotechnol J 2022; 20: 6403-6411.
- Zhang J, Chen M, Fang C, Luo P. A cancer-associated fibroblast gene signature predicts prognosis and therapy response in patients with pancreatic cancer. Front Oncol 2022; 12: 1052132.
- Feng Y, Qiao S, Chen J, Wen X, Chen Y, Song X et al. M2-Type Macrophages and Cancer-Associated Fibroblasts Combine to Promote Colorectal Cancer Liver Metastases. Onco Targets Ther 2024; 17: 243-260.
- Lei J, Liu Y, Yuan S, Yuan X, Yuan Q. Periostin-integrin signaling in hepatocellular carcinoma: from biological function to clinical application. Front Cell Dev Biol 2025; 13: 1520739.
- Lee JI. Role of Periostin in Hepatocellular Carcinoma: The Importance of Tumor Microenvironment. Gut Liver 2016; 10: 871-872.
- Ueki A, Komura M, Koshino A, Wang C, Nagao K, Homochi M et al. Stromal POSTN Enhances Motility of Both Cancer and Stromal Cells and Predicts Poor Survival in Colorectal Cancer. Cancers (Basel) 2023; 15.
- Zhang M, Fang Y, Fu X, Liu J, Liu Y, Zhu Z et al. Cancer-associated fibroblasts nurture LGR5 marked liver tumor-initiating cells and promote their tumor formation, growth, and metastasis. Cancer Med 2023; 12: 18032-18049.
- Safri F, Nguyen R, Zerehpooshnesfchi S, George J, Qiao L. Heterogeneity of hepatocellular carcinoma: from mechanisms to clinical implications. Cancer Gene Ther 2024; 31: 1105-1112.
- Mun K, Han J, Roh P, Park J, Kim G, Hur W et al. Isolation and characterization of cancer-associated fibroblasts in the tumor microenvironment of hepatocellular carcinoma. J Liver Cancer 2023; 23: 341-349.
- Wang H, Liang Y, Liu Z, Zhang R, Chao J, Wang M et al. POSTN(+) cancer-associated fibroblasts determine the efficacy of immunotherapy in hepatocellular carcinoma. J Immunother Cancer 2024; 12.
- Ohlund D, Handly-Santana A, Biffi G, Elyada E, Almeida AS, Ponz-Sarvise M et al. Distinct populations of inflammatory fibroblasts and myofibroblasts in pancreatic cancer. J Exp Med 2017; 214: 579-596.
- Kalluri R. The biology and function of fibroblasts in cancer. Nat Rev Cancer 2016; 16: 582-598.
- Costa A, Kieffer Y, Scholer-Dahirel A, Pelon F, Bourachot B, Cardon M et al. Fibroblast Heterogeneity and Immunosuppressive Environment in Human Breast Cancer. Cancer Cell 2018; 33: 463-479 e410.
- Yu D, Xu H, Zhou J, Fang K, Zhao Z, Xu K. PDPN/CCL2/STAT3 feedback loop alter CAF heterogeneity to promote angiogenesis in colorectal cancer. Angiogenesis 2024; 27: 809-825.
- Liu Y, Dong G, Yu J, Liang P. Integration of single-cell and spatial transcriptomics reveals fibroblast subtypes in hepatocellular carcinoma: spatial distribution, differentiation trajectories, and therapeutic potential. J Transl Med 2025; 23: 198.
- Wu Y, Li S, Yu H, Zhang S, Yan L, Guan X et al. Integrative Single-Cell and Spatial Transcriptomics Analysis Reveals ECM-remodeling Cancer-associated Fibroblast-Derived POSTN as a Key Mediator in Pancreatic Ductal Adenocarcinoma Progression. Int J Biol Sci 2025; 21: 3573-3596.
- Liu Z, Wang L, Welch JD, Ma H, Zhou Y, Vaseghi HR et al. Single-cell transcriptomics reconstructs fate conversion from fibroblast to cardiomyocyte. Nature 2017; 551: 100-104.
- Wang J, Xi MJ, Lu Q, Xia BH, Liu YZ, Yang JL. Single-cell and bulk transcriptomics identifies a tumor-specific CD36(+) cancer-associated fibroblast subpopulation in colorectal cancer. Cancer Commun (Lond) 2024; 44: 495-498.
- Ding X, Wu Q, Du Y, Ji MM, Yang H, Hu Q et al. CDK16(+) Luminal Progenitor Cell-Like Tumor Cells Interacted with POSTN(+) Cancer-Associated Fibroblasts Associate with Chemo-Resistance In Breast Cancer. Small Methods 2025; 9: e2401192.
- Jin X, Deng Q, Ye S, Liu S, Fu Y, Liu Y et al. Cancer-associated fibroblast-derived Periostin promotes papillary thyroid tumor growth through integrin-FAK-STAT3 signaling. Theranostics 2024; 14: 3014-3028.
- Ma H, Wang J, Zhao X, Wu T, Huang Z, Chen D et al. Periostin Promotes Colorectal Tumorigenesis through Integrin-FAK-Src Pathway-Mediated YAP/TAZ Activation. Cell Rep 2020; 30: 793-806 e796.
- Zhu D, Wang Z, Zhang G, Ma C, Qiu X, Wang Y et al. Periostin promotes nucleus pulposus cells apoptosis by activating the Wnt/beta-catenin signaling pathway. FASEB J 2022; 36: e22369.
- Cho A, Jin W, Lee J, Shin N, Lee MS, Li L et al. Periostin deficiency attenuates kidney fibrosis in diabetic nephropathy by improving pancreatic beta-cell dysfunction and reducing kidney EMT. Sci Rep 2023; 13: 17599.
- Shang Y, Liang Y, Zhang B, Wu W, Peng Y, Wang J et al. Periostin-mediated activation of NF-kappaB signaling promotes tumor progression and chemoresistance in glioblastoma. Sci Rep 2025; 15: 13955.
- Ouanouki A, Lamy S, Annabi B. Periostin, a signal transduction intermediate in TGF-beta-induced EMT in U-87MG human glioblastoma cells, and its inhibition by anthocyanidins. Oncotarget 2018; 9: 22023-22037.
- Wu J, Li J, Xu H, Qiu N, Huang X, Li H. Periostin drives extracellular matrix degradation, stemness, and chemoresistance by activating the MAPK/ERK signaling pathway in triple-negative breast cancer cells. Lipids Health Dis 2023; 22: 153.
- Huang Z, Byrd O, Tan S, Hu K, Knight B, Lo G et al. Periostin facilitates ovarian cancer recurrence by enhancing cancer stemness. Sci Rep 2023; 13: 21382.
- Chen G, Wang Y, Zhao X, Xie XZ, Zhao JG, Deng T et al. A positive feedback loop between Periostin and TGFbeta1 induces and maintains the stemness of hepatocellular carcinoma cells via AP-2alpha activation. J Exp Clin Cancer Res 2021; 40: 218.
- Bughda R, Dimou P, D'Souza RR, Klampatsa A. Fibroblast Activation Protein (FAP)-Targeted CAR-T Cells: Launching an Attack on Tumor Stroma. Immunotargets Ther 2021; 10: 313-323.
- Dorafshan S, Razmi M, Safaei S, Gentilin E, Madjd Z, Ghods R. Periostin: biology and function in cancer. Cancer Cell Int 2022; 22: 315.
- Zhang M, Zhang B. Extracellular matrix stiffness: mechanisms in tumor progression and therapeutic potential in cancer. Exp Hematol Oncol 2025; 14: 54.
- Wang M, Xue W, Yuan H, Wang Z, Yu L. Nano-Drug Delivery Systems Targeting CAFs: A Promising Treatment for Pancreatic Cancer. Int J Nanomedicine 2024; 19: 2823-2849.
- Geng X, Chen H, Zhao L, Hu J, Yang W, Li G et al. Cancer-Associated Fibroblast (CAF) Heterogeneity and Targeting Therapy of CAFs in Pancreatic Cancer. Front Cell Dev Biol 2021; 9: 655152.
- Tian H, Wang W, Liang S, Ding J, Hua D. From darkness to light: Targeting CAFs as a new potential strategy for cancer treatment. Int Immunopharmacol 2024; 143: 113482.
- Bernard NJ. Targeting CAFs. Nat Immunol 2025; 26: 1213.
- Dang Q, Zuo L, Hu X, Zhou Z, Chen S, Liu S et al. Molecular subtypes of colorectal cancer in the era of precision oncotherapy: Current inspirations and future challenges. Cancer Med 2024; 13: e70041.